|  | 
 | 
 | 
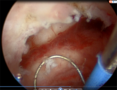
|   陈女士,38岁,剖宫产术后月经淋漓不净1年,辗转多家大医院治疗效果欠佳,来我院妇科就诊。妇科副主任杜建梅副主任医师经过反复研究她的病历资料,初步排除了血液系统疾病、子宫内膜增生症、子宫内膜息肉、子宫黏膜下肌瘤、子宫内膜癌等引起异常子宫出血的原因 。那到底是啥病呢?   入院后经过检查发现她的子宫肌层有个“坑”,即“子宫切口瘢痕憩室”,是行剖宫产手术病人特有的疾病。经过积极治疗后,陈女士好转出院,门诊随访一年,患者月经正常,未诉不适。   什么是子宫切口瘢痕憩室?   子宫切口瘢痕憩室指剖宫产术后子宫切口愈合不良,子宫切口处肌层变薄,形成与宫腔相通的凹陷或腔隙,部分患者会出现相关的临床症状。   子宫切口瘢痕憩室的临床表现   剖宫产术后子宫切口憩室是剖宫产最常见的远期并发症之一,典型的临床症状表现为剖宫产术后月经周期正常,但有经期延长、经期腹痛、点滴淋漓不尽阴道流血、性交后阴道流血、不孕,还可引起憩室妊娠而导致子宫穿孔、破裂、大出血等并发症,严重影响患者身心健康。   检查方法   正常女性经期平均4-6d,月经期第7天后行经阴道彩超检查并对憩室宽度及深度进行测量。子宫切口瘢痕憩室的典型声像图改变为子宫前壁下段剖宫产切口部位浆膜层连续,但子宫肌层、子宫内膜不连续,出现缺损并与宫腔相通,子宫切口瘢痕憩室样改变及切口处积液。所有超声诊断子宫切口瘢痕憩室患者于异常子宫流血期间行门诊宫腔镜检查,了解宫颈管、子宫切口憩室及宫腔的结构及形态,排除宫颈管及子宫体腔出血,并详细记录憩室大小及憩室内情况。   治疗方式   轻度的患者可以药物保守治疗,对于保守治疗效果不佳和中、重度患者,推荐早期行手术治疗,其中以宫腹腔镜联合和经阴道修补术的应用最为广泛。由于剖宫产术后子宫切口憩室底部靠近子宫浆膜层,宫腹腔镜联合修补术的主要优势为:(1) 能获取清晰术野,同时了解盆腔情况,尤其对盆腔粘连患者能准确观察各脏器间的关系,并通过充分下推膀胱而明确手术范围,降低术中损伤周围脏器的风险。(2) 对子宫下段病灶部位的暴露更为充分,术中对子宫浆膜层的保护更好。(3)可有效缩短术后备孕时间,尤其适用于生育要求迫切者。   经阴道子宫切口憩室修补术的主要优势有: (1) 利用人体天然腔道( 阴道) 直视下进行手术,术中可用手触摸子宫切口憩室的位置,修补缝合更准确。(2) 手术操作简单、损伤轻微、对设备、麻醉条件要求不高,患者经济负担轻。但是对于子宫切口位置较高、盆腔粘连严重者不适宜。   随着我国二胎政策的开放,剖宫产率呈现上升趋势,子宫切口憩室发生率较高,  阴式手术及宫腹腔镜手术疗效相当,但后者手术安全性及术后恢复效果更好,可根据患者具体情况选择合适的手术方式。   妇科主任   邓小明  主任医师   四川中医药信息学会妇孺专委会常委、川东北基层医院妇科肿瘤联盟第一届委员、南充市妇产科质量控制分中心专家组成员、南充市妇产科专委会常委、南充市妇产科医师协会常委、南充市妇产科医疗事故鉴定专家组成员、南充市妇产科盆底疾病质量控制分中心专家组成员、南充市高坪区妇产科质控分中心主任、高坪区首届名医。从事妇产科临床工作30余年,临床经验及手术经验丰富,擅长妇科常见病多发病及妇科良恶性疾病的诊治,熟练掌握妇科腹腔镜、宫腔镜、阴式手术及宫颈癌根治术。获省市科研成果、立项2项及区科技进步一等奖1项;在省级国家级杂志上发表论文发表30余篇,开展阴式子宫体三角形切除术在国内处于领先水平。   妇科副主任  海扶中心主任   杜建梅  副主任医师   从事妇产科临床工作近20年,具有丰富的临床及手术经验。在全市率先开展女性生殖整形美容技术、聚焦超声消融技术(海扶刀)。擅长妇科良恶性肿瘤、盆底功能障碍性疾病、慢性盆腔痛、不孕症、外阴白斑的早期诊治;熟练掌握妇科腹腔镜、宫腔镜、阴式手术的操作技术。 | 
| 
 |