|  | 
 | 
 | 
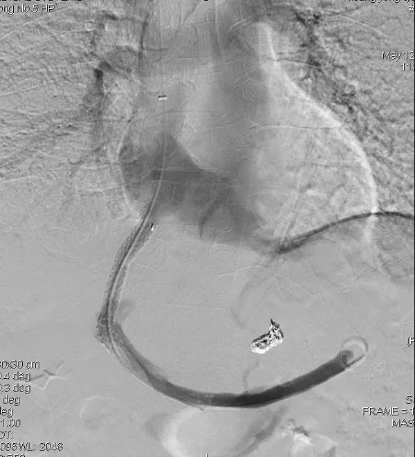
|     近日,南充市高坪区人民医院介入中心成功完成2例TIPS(经静脉肝内门-体静脉支架分流术),彻底解除患者食管胃底静脉曲张破裂顽固性出血的困扰。 病例介绍 病例1   患者何女士,70岁,因剑突下伴双侧季肋区不适、呕血1小时于2021年4月27日入住全科医疗科,入院诊断:1.肝硬化,上消化道出血;2.食管胃底静脉曲张。既往有冠心病、心绞痛、高血压、糖尿病及乙肝病史。曾多次因大量呕血住院治疗(2014年行“脾切除术及贲门周围血管离断术”,2019年行“内镜下食管胃底静脉曲张套扎术”),不久后即复发呕血,最多出血量达200-300毫升。 病例2   患者黄某,男,66岁,因突发呕血2小时量约300ml于2021年4月30日入住全科医疗科,入院诊断:1.乙肝后肝硬化失代偿期;2.门静脉高压;3.食管胃底静脉重度曲张、破裂。既往有乙肝病史,长期呕血、解黑便、贫血,苦不堪言。 手术情况   针对患者病情,全科医疗科与介入中心经过会诊讨论、充分术前评估和准备,于5月2日、5月12日,介入中心主任廖歆副主任医师团队先后成功为两名患者实施TIPS,彻底解除食管胃底静脉曲张破裂顽固性出血。术后患者恢复良好,肝功能等各项指标恢复正常,贫血状况得以改善,现均已康复出院。 TIPS实施中 术前明显迂曲扩张的食道胃底静脉 术后曲张静脉已封堵 并重建门体分流通道   TIPS是血管介入手术中难度最大的四级手术之一,对于肝硬化导致的门静脉高压及相关并发症,该手术现已成为其主要的治疗方式。与外科门体静脉分流术相比,该手术具有创伤小,成功率高,降低门脉压力可靠,并发症少,能同时进行曲张静脉栓塞等优点。对于门静脉高压症所导致的顽固性腹水,也有显著的疗效。 03 TIPS操作流程   将穿刺套件经肝静脉穿刺肝内门静脉,用球囊进行分流道扩张,置入覆膜支架覆盖穿刺通道,人为建立门体分流通道。   食道胃底静脉曲张,采用胃冠状静脉栓塞。   门静脉系统血流经门体分流通道进入下腔静脉,门静脉压力显著降低,出血、呕血彻底解除。术后予颈静脉穿刺点压迫,病人在8小时后就可下床自由活动。 介入中心简介   南充市高坪区人民医院介入中心现有专业技术人员15人,其中高级技术职称5名,中级技术职称7名,初级技术职称3名。拥有美国GE数字减影血管造影机(DSA),进行胸部、腹部、四肢、头颅和外周血管造影和介入治疗,具有实时数字电影采集、各种血管测量分析软件和后处理软件,图像质量好,存储容量大,射线剂量低,操作灵活方便,技术含量高。   介入诊疗项目:   1.实性肿瘤血管灌注化疗栓塞术,如肝癌、肺癌、胃肠癌、肾良恶性肿瘤、胰腺癌、转移性肿瘤等。   2.冠状动脉造影与支架植入、心律失常介入治疗。   3.消化道出血、咯血、外伤性脏器破裂出血等疾病血管栓塞术。   4.下肢动脉、内脏动脉造影、狭窄或闭塞性动脉的介入治疗(球囊扩张、支架置入)。   5.深静脉血栓、髂压综合症的介入治疗,下腔静脉滤器置入、肺动脉溶栓。   6.产后出血、瘢痕妊娠、前置胎盘、妇产科肿瘤、输卵管阻塞介入治疗。   7.全脑血管造影、颅内动脉及颈动脉狭窄、动脉瘤、急性脑梗死介入治疗。   8.胆道梗阻、肠梗阻的介入治疗。   9.肝硬化门静脉高压、消化道静脉出血的介入治疗。脾功能亢进介入治疗。   10.消化道疾病球囊扩张术、支架置入术、胃肠营养管置入术。   11.CT引导下穿刺活检、囊肿硬化治疗、脓肿引流。   12.椎体成形术、疼痛治疗等。   13.动静脉内瘘狭窄再通术。   咨询电话(专科楼1楼):   0817-3313573 | 
| 
 |